Fill in the quick form and tell us what you'd like to improve about your smile.
Our team will get in touch to discuss your goals and answer any questions.
If you're suitable, we’ll invite you in for your personalised consultation and treatment plan.








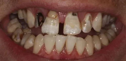
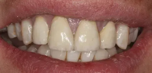
Imagine having a smile like this…
Start your transformation today with a free consultation
👇 Claim your free consultation below
Advanced cosmetic and restorative treatments tailored to your smile goals.
Every recommendation is based on your individual smile and long-term dental health.
Digital scans and advanced techniques for predictable, natural-looking results.
Trusted by patients across Kent and surrounding areas for quality care and lasting results.
IQ Dental & Implant Centre
15 Queen Street, Kings Hill, ME19 4DA
01732 522 255
[email protected]
IQ Dental & Implant Centre is an evidence-based private dental clinic located in Kings Hill, near West Malling, Kent.